피부질환
Skin Disease
Wart · Skin tag · Milia
사마귀 · 쥐젖 · 비립종은 얼핏 보면 비슷해 보이지만
원인과 진행 양상은 전혀 다릅니다.
바이러스 감염, 노화와 마찰, 피지 · 표피의 과다 증식 등 원인에 따라
치료 접근법이 달라지기 때문에 정확한 구분이 필요합니다.
이러한 피부 질환은 시간이 지날수록 크기가 커지거나
개수가 늘어날 뿐만 아니라 목, 겨드랑이, 얼굴 등
다른 부위로 퍼질 수 있어 초기 치료가 중요합니다.
고운채로의원은 세심한 진단과 체계적인 맞춤 치료로 피부 건강을 지켜드립니다.
Wart · Skin tag
· Milia
Symptom
고운채로의원은 개인별 피부 상태에 적합한 맞춤 치료를 진행합니다.

사마귀
각질이 두꺼워지고 오돌토돌한
돌기 형태로 나타납니다.
손 · 발 · 얼굴 등 다양한 부위에 발생하며
전염 가능성이 있어 조기 치료하는 것이 좋습니다.

쥐젖
목 · 겨드랑이 · 가슴 밑 등 피부가 접히는 부위에
부드러운 섬유상피 용종입니다.
시간이 지날수록 커지거나 개수가 늘어날 수 있습니다.

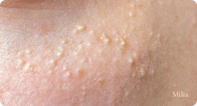
비립종
좁쌀처럼 작고 단단한 흰 알갱이 형태로
백색이나 황색의 얕은 각화 낭종입니다.
주로 뺨이나 눈꺼풀에 잘 생기며 대부분은
자연적인 원인에 의해 발생합니다.
Cause
사마귀 · 쥐젖 · 비립종은 동일하게 보이는
피부 병변이라도 원인에 따라 치료 접근법이 달라지므로,
정확한 감별 진단이 효과적인 치료로 이어집니다.
사마귀
인유두종바이러스(HPV) 감염으로 발생하며,
피부의 작은 상처를 통해 전염될 수 있습니다.
면역력이 약하거나 가족력 · 체질적 요인이 있는 경우
더 쉽게 발생할 수 있습니다.
쥐젖
피부 섬유와 상피 조직이 과도하게 증식하면서
생기는 연성섬유종입니다.
노화 · 마찰 · 유전적 요인이 원인이 될 수 있으며
전염성은 없습니다.
비립종
피부 손상으로 나타나는 경우에는
외상 부위나 만성적 스테로이드 도포로 인한
피부 위축부에서 발생할 수 있습니다.
Treatment
Recommendation
01
크기와 개수가 점점 늘어나 일상생활에 불편을 주는 경우
02
손 · 발 · 얼굴 · 목 등 노출 부위에 발생해 미용적으로 신경 쓰이는 경우
03
사마귀처럼 전염 가능성이 있는 병변이 확인된 경우
04
피부 자극과 상처, 스트레스에 따라 증상이 악화되는 경우
05
마찰 등으로 자극을 받아 통증이나 출혈이 생기는 경우

Course of Treatment
STEP 01
피부상태 진단
STEP 02
피부 정밀 진단
STEP 03
개인별 맞춤 레이저 치료 진행
STEP 04
치료 경과 확인 및 지속적인 관리
Stay Beautiful Clinic
고운채로의원은 정밀 진단을 기반으로,
환자 한 분 한 분의 피부질환에 맞는
맞춤 치료를 제시합니다.
고운채로의원이
특별한 이유
환자 개인별
1:1 맞춤 진료
정해진 틀이 아닌,
환자 한 분 한 분을 위한 맞춤 진료로,
만족도 높은 결과를 이끌어냅니다.

환자를 먼저
생각하는 철학
늘 환자의 입장에서 고민하고 귀 기울이며,
신뢰할 수 있는 진료를 실천합니다.

섬세함이 만드는
차별화된 결과
디테일의 차이가 곧 결과의 차이,
섬세한 손길로 더욱 완성도 높은
치료를 제공합니다.

안심할 수 있는
체계적 시스템
상담부터 치료, 사후관리까지 이어지는
효과적이고 체계적인 시스템으로
안심을 더합니다.



